Home The Team Treatments Hours & MAP Why us? Prices
The Station Dental Clinic Teeth for Life Keeping your dental health on track North Camp Station GU12 5QA Hampshire Ash Vale Lynchford Road 01252 544557

Composite Bonding


What is composite bonding?


Composite bonding (also known as tooth bonding or dental bonding) offers a solution for minor damage or gaps in teeth. When carried out as a cosmetic treatment, it is not available on the NHS but offered as a private service.


Bonding is usually used for filling chips, fractures or gaps between teeth, or for fixing discolouration. A composite resin is attached to a tooth and shaped to restore its original appearance. The colour of the resin is matched to your teeth, so it will appear as though it is a natural part of the tooth.


Composite bonding can help you achieve a smile you’re happier with.



What are the benefits of composite bonding?


Composite bonding can usually be carried out in just one visit to the dentist. It’s a fast and effective way to fix minor cosmetic issues. The composite is hardened using UV light as soon as it’s applied, resulting in a tooth that can comfortably bite down by the end of the appointment.


Bonding is also a non-invasive procedure. With alternatives such as crowns and veneers, part of the tooth is permanently removed. For composite bonding to be applied, the surface of the tooth only has to be roughened to help the resin to bond, meaning the structure of the tooth remains intact.


Composite bonding can make cosmetic improvements to your smile quickly, without causing further damage to your teeth.


Composite bonding can be a cheaper alternative to crowns or veneers. It’s also a less invasive process and can be completed in just one appointment. And with regular brushing and good oral hygiene, your composite bonds should last for years.



What are the alternatives to composite bonding?


The usual alternative options to composite bonding are:


Veneers - A veneer is a thin moulding custom-made from porcelain, which is bonded to the front surface of a tooth. They can also be used to cover gaps in teeth where orthodontic treatment may not be suitable.

Crowns - A crown is a tooth-shaped ‘cap’ that’s placed over the entire visible portion of your tooth. A crown will feel and function just like any of your other teeth. And if you choose to have a porcelain crown, it will be virtually indistinguishable from your other teeth.


Both of these alternatives cause some damage to teeth. Veneers are a popular option which can last for many years but as they are made from porcelain, the tooth has to be cut down to fit them, which causes some permanent damage. Similarly, for a crown to be fitted, a dentist has to remove some of the healthy part of your tooth.


Bonding is a quick, less expensive and non-invasive procedure, and it can be easily repaired if damaged or broken.


Talk to your dentist about your options. They will be able to advise you on whether composite bonding is the right treatment for you.

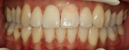
This case was completed after a course of teeth whitening to allow a change in shape and colour. We use Venus diamond which is resilient against further staining and chipping. This case was completed by Hardev Seehra

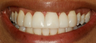
Using non invasive methods our practitioners are skilled to improve colour and shape and appearance of teeth with safe composite bonding. We use Venus diamond which is resilient against further staining and chipping. This case was completed by Hardev Seehra

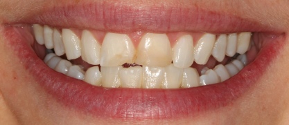
Using non invasive methods our practitioners are skilled to improve colour and shape and appearance of teeth with safe composite bonding. We use Venus diamond which is resilient against further staining and chipping. These cases completed by Hardev Seehra