Home The Team Treatments Hours & MAP Why us? Prices
The Station Dental Clinic Teeth for Life Keeping your dental health on track North Camp Station GU12 5QA Hampshire Ash Vale Lynchford Road 01252 544557

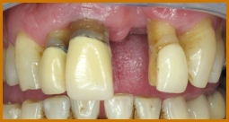
Before

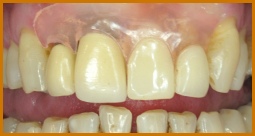
After

Using new flexible dentures to mask and hide old crown margins, receeding gums and replace teeth. No drilling required or damage to existing teeth. (Treatment carried out by Hardev Seehra)

Dentures

We offer metal, acrylic, high impact and flexible dentures with the ability to use various clasps,


People wear dentures to replace lost or missing teeth so they can enjoy a healthy diet and smile with confidence. Dentures are made of either acrylic (plastic) or metal.


A ‘complete' or ‘full' denture is one which replaces all the natural teeth in either the upper or lower jaw.


A ‘partial' denture fills in the spaces left by lost or missing teeth. It may be fastened to your natural teeth with metal clasps or ‘precision attachments'.


Your dentist may take measurements and impressions of your mouth, then order your dentures from a dental technician. However, if you would prefer, you can ask to visit a clinical dental technician yourself.


Even if you have full dentures ut you should still visit your dentist regularly, as often as they recommend, so they can check the rest of your mouth, pick up any problems and check the fit of your dentures.


BDA 3d mouth Web Link >>


Some examples of treatment we can provide are shown below