Home The Team Treatments Hours & MAP Why us? Prices
The Station Dental Clinic Teeth for Life Keeping your dental health on track North Camp Station GU12 5QA Hampshire Ash Vale Lynchford Road 01252 544557

Examples

Only some easy to view treatments are show below

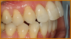
Before

On exam full estimates are given

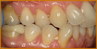
After

Treatment carried out by Haredv Seehra

Click here to book online now for you free  orthodontic consultation with limited objective

Short term orthodontics

Please contact us to book your  orthodontic smiles consultation.


QuickStraightTeeth™ uses nearly-invisible braces to gently straighten your teeth, and give you that smile you’ve always dreamed of.


We all want a perfect smile, but all too often, the word ‘braces’ can conjure up images of old-fashioned ‘train-tracks’ or Ugly Betty!


You will be pleasantly surprised with QuickStraightTeeth™. Our braces look beautiful and discreet with top quality tooth-coloured brackets and wires, making your them virtually invisible. Most people won’t know you are wearing braces at all and treatments can take as little as 6 months to complete.


With an option to suit everyone, QuickStraightTeeth™ can boost your confidence, raise your self-esteem, and give you a winning smile.


QuickStraightTeeth™ is one of the most widely used orthodontic systems in the world.

Quick Straight Teeth Weblink >>