Home The Team Treatments Hours & MAP Why us? Prices
The Station Dental Clinic Teeth for Life Keeping your dental health on track North Camp Station GU12 5QA Hampshire Ash Vale Lynchford Road 01252 544557

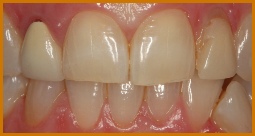
Before

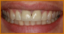
After

Using zirconia porcelein crowns we can replace old metal ceramic crowns to create invisible and well blended colours and crowns edges (Treatment carried out by Hardev Seehra)

Using zirconia porcelein crowns and fibre posts we can rebuild teeth that have fractured to the gum line. (Treatment carried out by Hardev Seehra)

Crowns, bridges or veneers

A crown is an artificial restoration that fits over the remaining part of a prepared tooth, making it strong and giving it the shape of a natural tooth. A crown is sometimes known as a ‘cap'.


Crowns are an ideal way to restore teeth that have been broken, or have been weakened by decay or a very large filling. A crown could be used for a number of other reasons, for example:



You will need to have at least two visits. The first is to have the tooth prepared, the impressions taken, the shade matched and the temporary crown fitted. The second is to fit the permanent crown. There will usually be about 1 to 2 weeks in between appointments.


Because the shape of the crown will be slightly different from the shape of your tooth before it was crowned, you may be aware of it to begin with. Within a few days it should feel fine, and you will not notice it. The crown may need some adjustment if your bite does not feel comfortable. If so, you should ask your dentist to check and adjust it.


We use metal free crowns such as zirconia/E.max and. This means less to zero drilling!


BDA 3d mouth Web Link >>


Using emax porcelein crowns and veeenrs we can hide and blend with existing teeth. (Treatment carried out by Hardev Seehra)

Some examples of treatment we can provide are shown below