Home The Team Treatments Hours & MAP Why us? Prices
The Station Dental Clinic Teeth for Life Keeping your dental health on track North Camp Station GU12 5QA Hampshire Ash Vale Lynchford Road 01252 544557

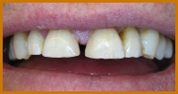
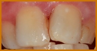
Before

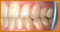
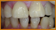
After

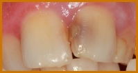
Using adhesive dentistry and strong white filling material p60 to repair the decayed tooth. (Treatment carried out by Hardev Seehra)

Using strong white filling material (p60) that does not involve complex crowns or veneer to close gaps and invisible finishes. (Treatment carried out by Hardev Seehra)

Using white filling material that does not involve complex crown or veneers. (Treatment carried out by Hardev Seehra)

Using strong white filling material p60 that does not involve complex crowns or veneers to repair the fractured tooth. (Treatment carried out by Hardev Seehra)

Using strong white filling material (p60) that does not involve complex crowns or veneers to change teeth position and shape. (Treatment carried out by Hardev Seehra)

Using white filling material that does not involve complex crowns or veneers. This required multiple shades including translucency to camouflage the repair. (Treatment carried out by Hardev Seehra)

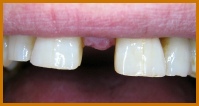
Using strong white filling material (p60) that does not involve complex crowns or veneers to close teeth spaces. (Treatment carried out by Hardev Seehra)

Using strong white fillings material (p60) that does not involve complex crowns or veneers to rebuild the broken tooth (Treatment carried out by Hardev Seehra)

Using strong white filling material (p60) that does not involve complex crowns or veneer to reduce gaps. (Treatment carried out by Hardev Seehra)

Using white filling material that does not involve complex crowns or veneers. (Treatment carried out by Hardev Seehra)

White fillings

The use of adhesive technology enables us to place fillings requiring less drilling to also provide great cosmetic results. The white filling is bonded onto the area with an adhesive and a light shone onto it to set it.

More information BDA 3d mouth Web Link >>

Before

After

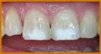
Using adhesive dentistry and strong white filling material to replace old broken metal fillings. (Treatment carried out by Hardev Seehra)

What are tooth-coloured fillings made of?

Composite fillings are tooth coloured and are made from powdered glass, quartz, silica or other ceramic particles added to a resin base. The dentist will choose a shade to match your own teeth.


Using strong white filling material (p60) to restore teeth with invisible finishes. (Treatment carried out by Hardev Seehra)

Using white filling material that does not involve complex crowns or veneers to mask tooth wear. (Treatment carried out by Hardev Seehra)

Using white filling material that does not involve complex crowns or veneers. (Treatment carried out by Hardev Seehra)

Some examples of treatment we can provide are shown below