Home The Team Treatments Hours & MAP Why us? Prices
The Station Dental Clinic Teeth for Life Keeping your dental health on track North Camp Station GU12 5QA Hampshire Ash Vale Lynchford Road 01252 544557

Examples

Only some easy to view treatments are show below

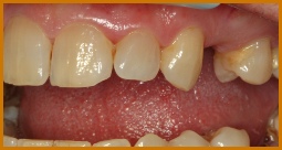
Before

On exam full estimates are given

After

On exam full estimates are given

This bridge was placed within the same appointment. In this particular case there was no need for injections or drilling. The fibre glass is bonded to the teeth either side.  (Treatment carried out by Hardev Seehra)

Bridges - Fibre glass

Glass Fibre Reinforcement For Fibre-Reinforced Composite Bridges


The use of GC everStickC&B fibre reinforcement offers a unique treatment method for replacing missing teeth. With GC everStickC&B you can prepare composite bridges reinforced with fibres in one single visit using a minimally invasive technique.  In most cases we can place the bridge without drilling or injections. This evidence based fibre reinforcement technology provides you with a metal free, cost-effective treatment method complete your prosthetic treatment choices. GC everStickC&B enables you to prepare reversible, minimally invasive solutions where healthy tooth structure can be saved for as long as it is clinically possible.



Advantages

Reliable and aesthetic way to replace missing teeth during one visit

Tooth tissue preserving approach

Perfect for urgent situations and trauma cases to provide an immediate solution to replace missing teeth

Economical alternative in case of extensive restorative needs

Ideal for both anterior and posterior restorations



Indications

For every indication to replace missing teeth either temporarily, transitionally or for a long-term:

Surface retained bridges

Inlay and onlay bridges

Hybrid bridges

Full cover crown bridges

Implant-supported bridges

Temporary bridges

Immediate bridges

GC everstick   Web Link >>