Home The Team Treatments Hours & MAP Why us? Prices
The Station Dental Clinic Teeth for Life Keeping your dental health on track North Camp Station GU12 5QA Hampshire Ash Vale Lynchford Road 01252 544557

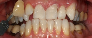
Before

On exam full estimates are given

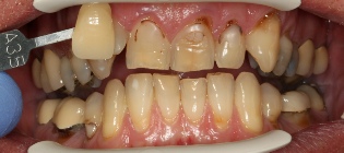
After

On exam full estimates are given

The Station Dental Clinic uses Boutique whitening gels.

They are proven products through evidence and research.

Examples

Only some easy to view treatments are show below

A Standardised shade (A3.5) tooth colour held to the natural teeth for genuine teeth whitening comparison

Teeth Whitening only £299

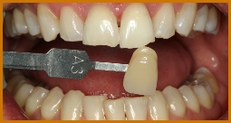
A Standardised shade (A3) tooth colour held to the natural teeth for genuine teeth whitening comparison

Teeth Whitening

Tooth whitening can be a very effective way of lightening the natural colour of your teeth without removing any of the tooth surface or damaging it. Usually the original shade of the tooth is whitened to a lighter colour, rather than being turned completely white.


As we get older our teeth get darker. This is partly due to our getting older, but it is also caused by the foods we eat and drink, and by other habits such as smoking. Tea, coffee, blackcurrant juice, red wine and other foods that have strong colours can have an effect on the overall colour of our teeth. Teeth may also darken as a result of some antibiotics


Some people naturally have a more grey shade of teeth. Other people have white spots on their teeth. This can be caused by early tooth decay, or illness when the tooth was forming.



There are a number of reasons why you might get your teeth whitened. Everyone is different; and just as our hair and skin colour vary, so do our teeth. Very few people have brilliant-white teeth, and our teeth can also become more discoloured as we get older.


Your teeth can also be stained on the surface by food and drinks such as tea, coffee, red wine and blackcurrant. Smoking can also stain teeth.


‘Calculus' or tartar can also affect the colour of your teeth. Some people may have staining under the surface, which can be caused by certain antibiotics or tiny cracks in the teeth which take up stains


The ‘active ingredient’ in the whitening product is usually hydrogen peroxide or carbamide peroxide. As the active ingredient is broken down, oxygen gets into the enamel and dentine on the teeth and the tooth colour is made lighter.


Tooth whitening can only lighten your existing tooth colour. Also it only works on natural teeth. It will not work on any types of ‘false' teeth such as dentures, crowns and veneers.

If your dentures are stained or discoloured visit your dentist and ask for them to be cleaned.




Wikipedia Web Link >>